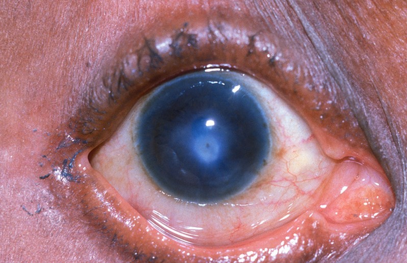
The animal rights group Beagle Project is berating University of Missouri scientists for euthanizing six beagles after a study concluded. According to the Missourian, the Beagles’ left eyes were intentionally injured the dog’s eyes while sedated and then treated with an acidic treatment to see if it sped up the healing of corneal ulcers. The results of the tests were placed in a manuscript published in the journal Veterinary Ophthalmology.

The Beagle Project claims that the dogs did not have to be put to sleep and would have found homes for them. The group is also suing the University for violating Missouri’s open record statute when it found the study. Beale Project says it is searching for records of almost 180 animals scientists used during university tests. The university did respond to the group’s request stating that producing the records would cost them $82,000.

Scientists concluded the treatment did not speed up the healing process and Beagle Project further alleges that the study was a waste of time claiming researchers did not use an amount large enough to detect a clinically significant difference in healing rates. Fortunately, MU is standing its ground and it seems to have no intention of backing down. The intention of the Beagle Project, however, is clear. The organization would prefer people suffer from corneal ulcers and eventually go blind rather than use animals to conduct research to find a treatment or even cure for them.

The Beagle Project’s campaign is to harass MU’s research that uses animals for medical tests and can be used to slander facilities and even scientists involved in vivisection. There are alternatives to animal testing but many times they are not effective or sophisticated enough to replace using animals for experiments.

In terms of rights for animals that groups like the Beagle Project supports, rights depend on a being’s ability of rational thought. Animals are devoid of any such ability since predatory instincts are an animal’s primary means of survival. Therefore, humans using animals for medical tests, clothing and even food is appropriate. I do not condone or encourage abuse or cruelty directed toward animals and hope at some point scientists can come up with alternatives where animals do not have to be used in experiments. But this latest campaign by the Beagle Project to harass animal testing facilities like at MU is any indication, the Beagle Project’s efforts are more about the animalistic treatment of humans than about saving animals from alleged cruelty or tests groups so-called animal rights organizations deem unnecessary.